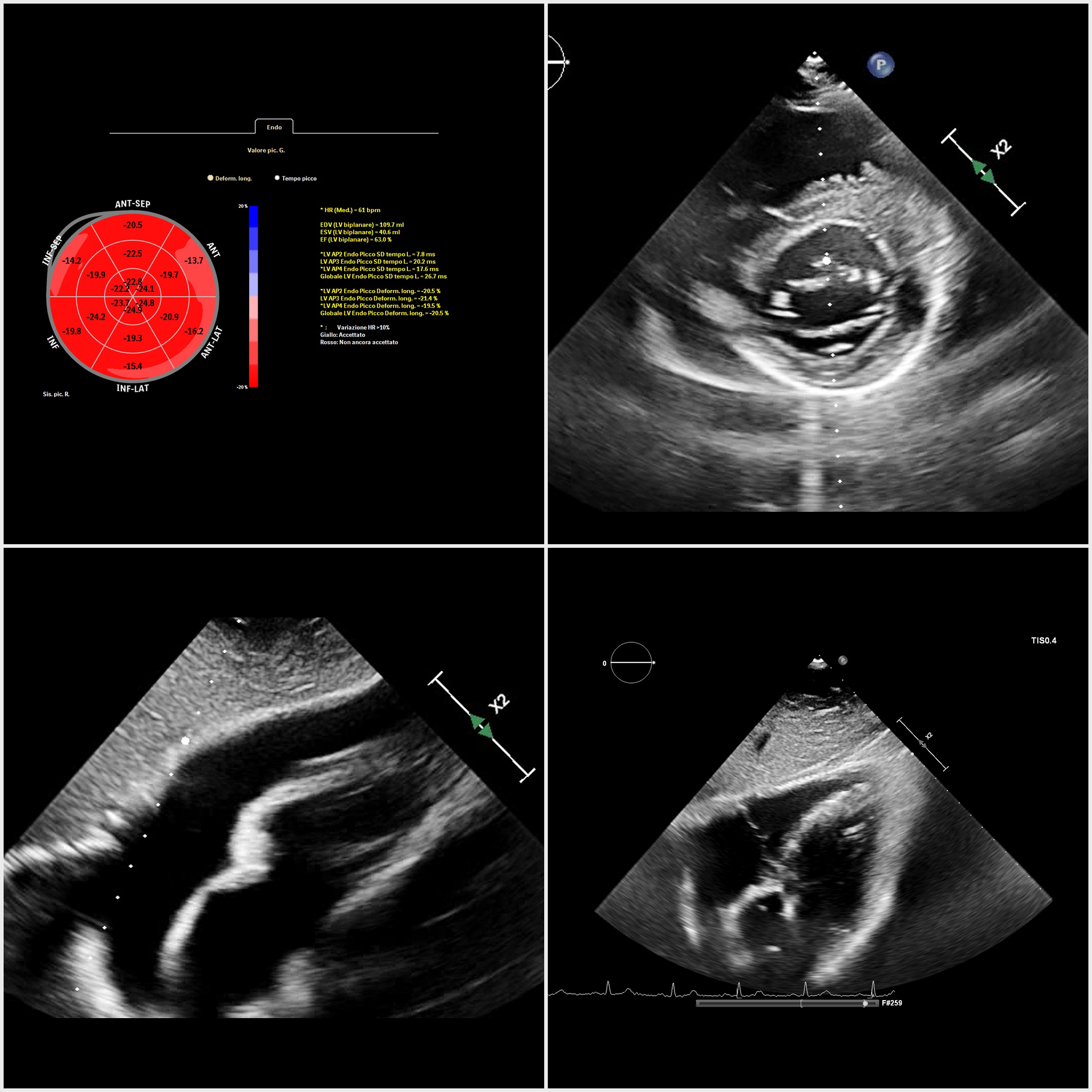
Background: Cardiac involvement in hematologic malignancies is uncommon and often subclinical; it may present with pericardial effusion and myo-pericardial infiltration. Case presentation: A 41-year-old man with relapsed acute lymphoblastic leukemia (prior chemotherapy and two bone-marrow transplant attempts) was referred for hypotension and marked asthenia. He denied chest pain, palpitations, and syncope. ECG showed sinus rhythm, anterior T-wave inversion, and low QRS voltages. Laboratory tests revealed mild anemia and leukocytosis. Urgent echocardiography demonstrated a large circumferential pericardial effusion with pre-tamponade signs (right atrial collapse, marked respiratory variation of transtricuspid inflow) and a dilated, poorly collapsible inferior vena cava; biventricular function was otherwise preserved. Diagnostic-therapeutic pericardiocentesis drained >1,000 mL of frankly hemorrhagic fluid; cytology was positive for malignant cells. CMR showed mid-basal LV wall thickening (anterior/anteroseptal/inferoseptal) with mild T2-STIR hyperintensity and increased T1/T2 mapping values, consistent with myo-pericardial leukemic involvement. Infiltrating tissue was detected along the anterior interventricular groove encasing the left main and LAD, extending to the left atrial anterior/lateral walls and surrounding the circumflex, and reaching the aorto-pulmonary window in close contiguity with the main pulmonary artery; ventricular function was preserved. Speckle-tracking echocardiography showed normal global longitudinal strain with regional reduction in basal anterior, anterolateral, inferolateral segments and basal inferior septum. During ongoing hemato-oncologic therapy, the patient has remained asymptomatic, without recurrent pericardial effusion and with stable echocardiographic parameters. Discussion/Conclusions: A hemorrhagic pericardial effusion with positive cytology may be the first clue of cardio-pericardial infiltration. Regional strain abnormalities can support escalation to advanced imaging; CMR is pivotal for non-invasive tissue characterization and diagnostic confirmation.

