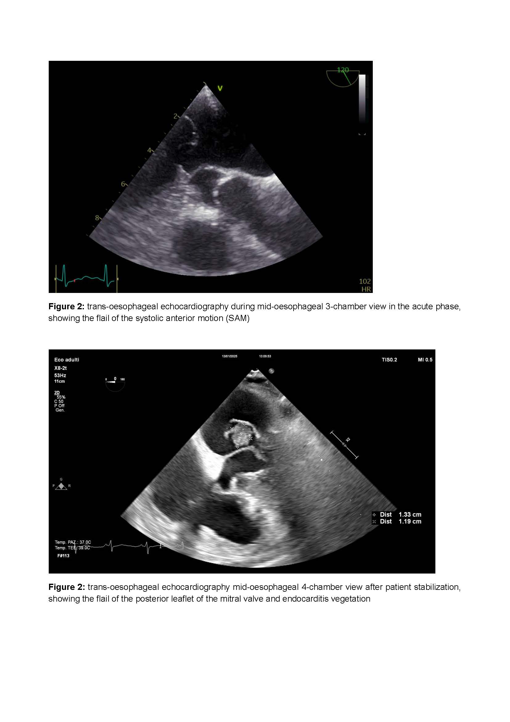
Introduction: dynamic left ventricular outflow tract obstruction (LVOTO) due to systolic anterior motion (SAM) causes various grades of mitral regurgitation (MR), potentially hiding structural valve disease. Case report: we present a case of an 82-year-old patient admitted to cardiac intensive care unit (CICU) due to cardiogenic shock and acute respiratory failure caused by severe MR, hiding mitral valve vegetation. MR resulted from flail and perforation of posterior mitral leaflet (PML), combined with dynamic LVOTO due SAM of anterior mitral leaflet (AML). Discussion: careful avoidance of same therapy and devices indicated in MR, like sodium nitroprusside and intra-aortic balloon pump (IABP), is essential to avoid worsening of LVOTO and thus hemodynamic stability. Instead, the use of drugs to obtain pressure equalization and negative chronotropism, such as norepinephrine and selective beta-1 receptor blockers, significantly reduce LVOTO and thus the MR, achieving hemodynamic stability and showing valve anatomy. Conclusion : our case-report underscores the importance of a multidisciplinary approach in the management of complex valvular dysfunction, particularly when dynamic LVOTO complicates the clinical presentation. Careful hemodynamic modulation can not only improve patient stability but also facilitate accurate diagnostic assessment, ensuring timely and appropriate therapeutic interventions. Keywords: dynamic left ventricular outflow tract obstruction, systolic anterior motion (SAM), mitral regurgitation, endocarditis, shock, valvular heart disease. Contribution type : case report

