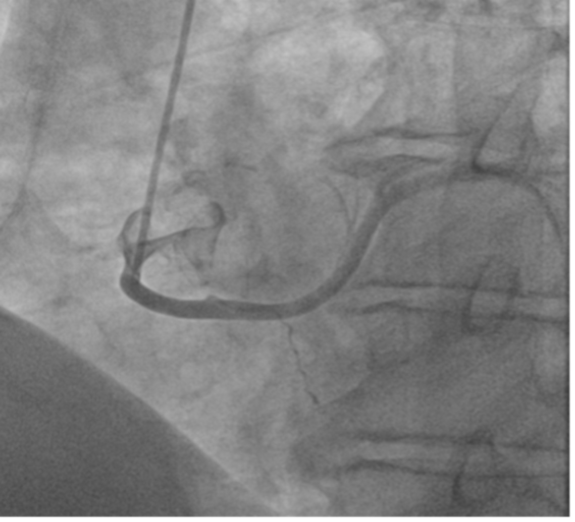
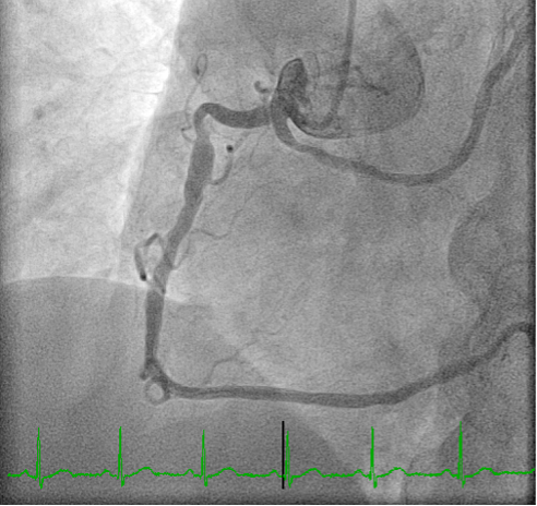
Background: Anomalous aortic origin of coronary arteries (AAOC) is a congenital condition that may affect the main three epicardial coronary vessels. The estimated prevalence of CCAs is variable, ranging from 0.21 to 5.79% based on angiography, CT, autopsy. Aim and methods: We retrospectively investigated all the angiographies and CTs performed over a 12 month-period between 2023 and 2024 at our peripheral referral center, which serves suburban areas of five cities. The aim was to assess the clinical incidence and implications of AAOC while evaluating the indications for these imaging examinations. Results: Among a total of 1100 coronary angiograms and 150 CTs, AAOC was found in 8 cases, with 4 by the former (0.37%) and 4 (2.7%) by the latter. In the cath lab, AAOC was often an incidental finding in patients with cardiovascular risk and suspected ischemic coronary artery disease. Three patients presented anomalous origin of the left circumflex artery (LCX) from the right sinus of Valsalva (Figures 1 and 2) and one patient had a left anterior descending artery (LAD) originating from the LCX. In patients diagnosed via CT, the cohort was younger, with presentations including electrocardiographic or echocardiographic abnormalities. One patient showed coronary arteries originated from the sinotubular junction (STJ). Another patient had a retroaortic LCX originating from the right sinus of Valsalva alongside an intramyocardial LAD. Two patients presented with a right coronary artery (RCA) originating from the left sinus of Valsalva (Figure 3). All patients were discharged without further interventions and were placed on routine follow-up schedules. Conclusions: AAOC remains a poorly understood condition with potential clinical implications. This small investigation provides a picture of the clinical incidence of AAOC in our geographical area, aiming at increasing the awareness of the disease in daily clinical practice. Improved stratification of patients with AAOC is essential to optimize management and may be provided by larger outcome trials.


