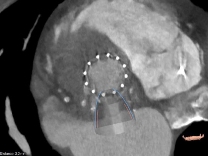
BACKGROUND Transcatheter mitral valve-in-valve implantation (TMVIV) into failing surgical bioprosthetic valves has evolved in recent years as a promising therapy to avoid redo cardiac surgery in patients at high surgical risk. METHODS An 80-year-old female patient with CKD stage 3, hypertension, a permanent PMK and atrial fibrillation was referred to our institution with NYHA Class III symptoms. She has undergone implantation of a bioprosthetic valve (St Jude Epic 29 mm) for severe mitral insufficiency due to chordal rupture in 2017 and transcatheter aortic valve implantation (Edwards 29 mm) for severe aortic insufficiency in 2022. The patient presented with structural valve degeneration, defined as intrinsic permanent variations of the tissue components of the valve, culminating in the development of severe intra-prosthetic stenosis. Notably her echocardiogram showed LVEF 45% with severe mitral valve deterioration due to calcification (mean gradient 15 mmHg, 3D MVA 0.8 cm^2). TAVI was normally functioning. Surgical risk for redo procedure was too high after evaluation by our Heart Team (EuroScore II 23,6%, STS Score operative mortality 16,7%). So, we have decided for a TMVIV using Edwards SAPIEN 3 Resilia valve 29 mm, implanted reversely in mitral position. The pre-procedural assessment for the "sizing" of the valve was performed using computed tomography angiography (CT). The following parameters were evaluated: the mitral annulus area, the aorto-mitral angle, the inverse angle and the distance between the two valves for evaluation of the neo-LVOT. The area of the mitral annulus was 6.2 cm² and thus suitable for a Sapien 3-29 mm. During procedure, angiographic imaging, but no TEE, suggested for a likely interference between the mitral valve balloon and the aortic frame, so we prepared for a simultaneous kissing balloon inflation between the mitral and aortic valves. RESULTS The post-procedural TEE showed no gradient, no obstruction in LVOT and no leak for either valves. CONCLUSIONS To our knowledge, we present a rare case of successful treatment utilizing simultaneous kissing balloon inflation during mitral valve replacement due to bioprosthesis degeneration, employing the Edwards SAPIEN 3 Ultra RESILIA valve. The case was characterized by challenges in visualizing the bioprosthetic valve ring as a reference point due to calcification.


