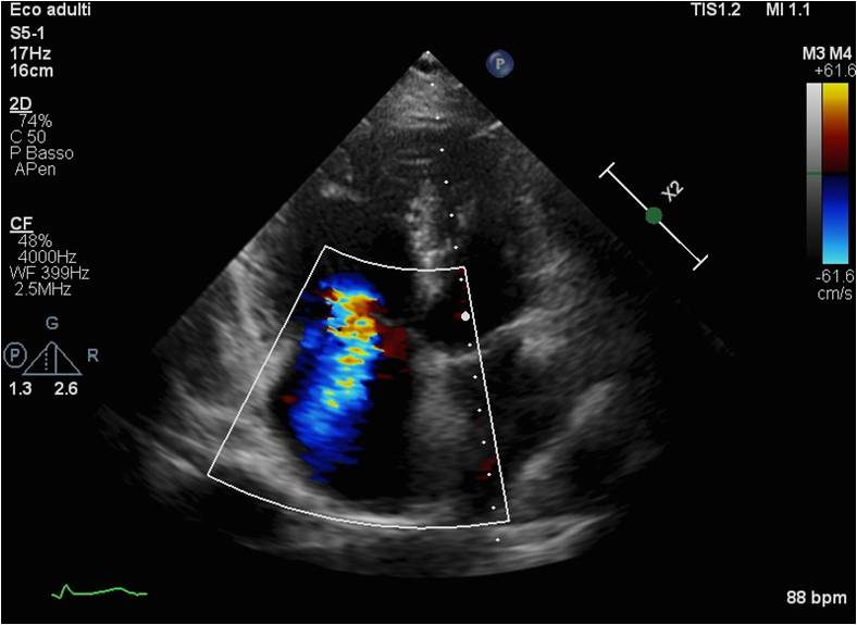
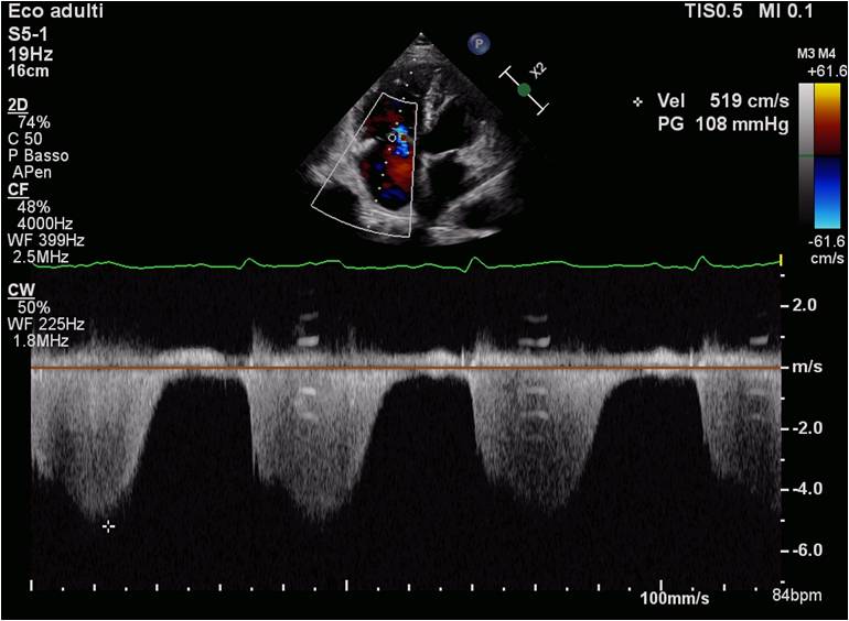
Introduction Idiopathic pulmonary arterial hypertension (IPAH) is a rare and progressive disease characterized by elevated pulmonary arterial pressure in the absence of identifiable causes, leading to increased vascular resistance and right ventricular overload. Early diagnosis and targeted therapy are critical for improving prognosis (1). Clinical case A 46-year-old female came to our attention for worsening episodes of syncope and dyspnea (NYHA III). Echocardiogram revealed moderate tricuspid regurgitation, PAPs 108 mmHg, right heart dilation, TAPSE 16 mm, atrial septal aneurysm and suspected patent foramen ovale (PFO). A dynamic test for right-to-left shunt revealed a mild shunt. NT-proBNP was 680 pg/ml. Myocardial perfusion imaging, spirometry, abdominal ultrasound, HIV tests, autoimmune panel and videocapillaroscopy were normal. Ventilation-perfusion scintigraphy showed areas of hypoperfusion but computerized tomography excluded thromboembolic form. Right heart catheterization showed a mean pulmonary pressure of 48 mmHg, a wedge pressure of 10 mmHg and vascular resistances (PVR) of 12.2 WU. According to ESC guidelines PFO wasn’t closed and, given the high PVR, we concluded with a diagnosis of IPAH with incidental finding of PFO. During 6-minute walk test (6MWT) the patient covered 320 meters with desaturation. This was integrated with NT-proBNP, clinical, echocardiographic (TAPSE/PAPs 0.16, RA area 19 cm², absence of pericardial effusion) and hemodynamic parameters (RAP 6 mmHg, CI 1.8 L/min/m², SVI 20 mL/m²), concluding with an intermediate risk. We opted for an upfront combination therapy. The patient showed significant improvement in NYHA class (I-II) and no more syncope. NT-proBNP was reduced to 265 pg/ml and she covered 452 meters without desaturation. The patient's risk profile had dropped to low risk. However, she still had PAPs of 65 mmHg and needed a major bilateral hystero-oophorectomy so we added a third drug with subsequent substantial reduction in PAPs. Conclusion In these high-risk patients we must not limit ourselves to NYHA class and functional capacity. Guidelines state that PAH patients are at high risk of right heart failure and death. Therefore they recommend therapeutic optimization before surgery. References Humbert M, Kovacs G, Hoeper MM, et al. 2022 ESC/ERS guidelines for the diagnosis and treatment of pulmonary hypertension. Eur Heart J. 2022 Oct 11;43 (38):3618-731.


